0
1
폴로늄이 왜 담배에 있냐고 하는데

전에 담배에는 폴로늄이 함유되어 있어서
흡연가들은 폴로늄에 의해
심한 방사선 피폭을 당하고 있다고
글을 쓴 적이 있었는데,


폴로늄 같은 듣보잡 원소가 왜 담배에 있냐고
믿지 않는 글들이 많았다.

그건 인간이 담배를 대량으로 재배하면서
인산염 비료를 뿌려대는데
인산염 안에 있던 우라늄 등의 방사성 물질들이
폴로늄을 만들어내기 때문이다.

담배의 '트리콤'이라고 불리는 미세한 털들이
이러한 폴로늄 같은 방사성 먼지들을
잘 달라붙게 하기 때문에
담배에는 폴로늄이 농축되게 된다.


그리고 같은 인산염 비료를 쓰는데
담배만 왜 문제가 되냐면,
담배가 그 원소를 잘 흡수하기 때문이다.
식물마다 흡수를 잘 하는 원소가 다르다.
바나나는 칼륨을,
해바라기는 스트론튬과 세슘을 잘 흡수하는데
담배는 그게 폴로늄이었을 뿐이다.

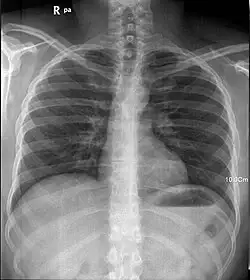
그리고 미국 질병통제예방센터(CDC)에 따르면
담배에 함유된 폴로늄으로 인한 방사선 피폭은

1.5갑씩 하루에 피우는 골초 기준으로
1년에 가슴 X레이 사진 300회 찍는 수준이고,

흡연가가 원전 종사자의 약 1000배 이상이었다.

그럼에도 '상식'을 들이밀며
전문가들의 의견이 뭐가 중요하다고 말하면....
여기서부턴 머리가 너무 뜨끈해져서
어떻게 대답해줘야 할지 모르겠다.
애초에 방사선만큼
대중의 상식이 괴리된게 없기 때문이다.
상식만으로 따지면 왜 돌이 알아서 빛나고
돌 옆에 있던 사람이 암에 걸리고
뼈 사진을 볼 수 있게 되는데.
출처 :
신고